top of page


A 30-second dental scan that reveals everything🦷
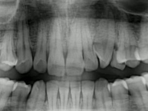
At Jehangir Oracare Dental Centre, our Advanced 2D & 3D CBCT Dental Scan allows dentists to see your teeth, nerves, jawbone and surrounding structures in high-definition 3D helping detect problems early and plan treatments with precision. ✔ See teeth, nerves & bone in 3D ✔ Accurate diagnosis for implants, root canals & surgeries ✔ Quick, safe & painless scan ✔ Advanced CBCT technology available at our clinic Because the right treatment begins with the right diagnosis Book you
bottom of page
